Tautan-tautan Akses

Tim Dokter Jepang Berhasil Tumbuhkan Kembali Sel Otot Jantung


Pengembangan sel pangkal (stem cell) memberi alternatif baru pencangkokan jantung manusia di masa depan.
Pengembangan sel pangkal (stem cell) memberi alternatif baru pencangkokan jantung manusia di masa depan.

Otot jantung bayi berhasil ditumbuhkan oleh tim di Universitas Okayama dengan menggunakan 'stem-cell' bayi itu sendiri.

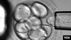
Para dokter di Jepang mengatakan mereka telah berhasil menumbuhkan kembali otot jantung bayi dengan menggunakan 'stem-cell' (sel pangkal)-nya sendiri.

Inilah pertama kalinya prosedur itu pernah dilakukan dengan berhasil. Tim dokter di Rumah Sakit Universitas Okayama, Jepang barat, mengatakan temuan ini kelak dapat memberi alternatif bagi pencangkokan jantung.

Para dokter tersebut mengatakan kepada wartawan hari Selasa mereka telah memperbanyak stem-cell dari seorang bayi perempuan yang berusia satu tahun yang lahir dengan ventrikel kiri jantung yang kekecilan. Ventrikel adalah kamar jantung yang memompa darah ke aorta, yakni pembuluh darah terbesar dalam tubuh.

Para dokter tadi memperbanyak cell itu selama beberapa hari, kemudian mencangkokkannya pada jantung bayi tersebut.

Mereka mengatakan ukuran otot jantung bayi perempuan itu telah bertumbuh 10 persen, dan bahwa banyaknya darah yang dipompa telah meningkat dengan angka yang sama.

XS
SM
MD
LG