Tautan-tautan Akses

Dapatkah AI Bantu Dokter Buat Keputusan yang Lebih Baik?


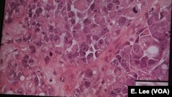
Pemindai geser beresolusi tinggi dan kekuatan komputer yang lebih kuat, memungkinkan kecerdasan buatan (AI) membantu dokter menemukan secara akurat subtipe kanker payudara yang diderita pasien.
Pemindai geser beresolusi tinggi dan kekuatan komputer yang lebih kuat, memungkinkan kecerdasan buatan (AI) membantu dokter menemukan secara akurat subtipe kanker payudara yang diderita pasien.

Dokter tak lama lagi mungkin memiliki cara baru untuk mendiagnosa dan mengobati pasien dengan bantuan teknologi kecerdasan buatan (AI) dan pembelajaran mesin (machine learning).

Tim ilmuwan di University of Southern California (USC) sedang mengembangkan cara menggunakan pembelajaran mesin untuk mengidentifikasi jenis kanker payudara tertentu, dan mereka mengatakan, itu hanyalah awal dari apa yang dapat dilakukan oleh komputer.

Di ruang kelas untuk kecerdasan buatan (AI), gurunya, Rishi Rawat, memasukkan lebih banyak sampel sel kanker ke komputer.

"Ini seperti otak komputer dan kita dapat memasukkan data ke dalamnya dan dia akan mempelajari pola dan pengenalan pola yang penting untuk membuat keputusan," kata Rishi Rawat.

Keputusan oleh dokter untuk menentukan pengobatan terbaik untuk pasien mereka.

"Mesin tidak akan menggantikan dokter. Komputer tidak akan merawat pasien, tetapi mesin akan membantu membuat keputusan tertentu dan mencari hal-hal yang tidak dapat dikenali oleh otak manusia – dengan pola ini sendiri," jelas David Agus, pendiri USC Ellison Institute.

Sebagai contoh, setelah tumor kanker dibuang dari pasien kanker payudara, para dokter masih harus merawat pasien itu untuk mengurangi risiko kambuh. Jenis perawatan tergantung pada jenis kanker dan apakah tumor dipicu oleh estrogen.

"Jadi apa yang harus dilakukan oleh ahli patologi adalah menghitung berapa persentase sel yang coklat dan berapa persen tidak," kata Dan Ruderman, Profesor di bagian Riset Pengobatan USC.

Proses ini bisa memakan waktu berhari-hari atau bahkan lebih lama.

Kecerdasan buatan dapat mendeteksi pola kompleks dalam pengaturan sel yang akan sulit dikenali manusia.
Kecerdasan buatan dapat mendeteksi pola kompleks dalam pengaturan sel yang akan sulit dikenali manusia.

"Di negara berkembang, mereka mungkin tidak memiliki akses untuk melakukan hal ini sama sekali….jadi ada kebutuhan besar di sana untuk dapat mendiagnosa kanker ini dengan benar," imbuhnya.

Komputer dapat melakukan yang lebih baik dari sekedar menghitung sel. Kecerdasan buatan dapat mengenali pola-pola rumit terkait bagaimana sel-sel tersusun, dengan harapan, dalam waktu dekat dapat membuat diagnosa dengan cepat, lebih andal dan bebas dari kesalahan manusia.

"Apakah mereka tidak teratur? Apakah jaraknya teratur? Bagaimana persisnya sel-sel tersusun dalam jaringan," lanjut Dan.

"Kita bisa melakukan ini secara instan hampir tanpa biaya di negara berkembang," kata David Agus.

Para ilmuwan mengatakan sekarang waktu yang tepat untuk memadukan ilmu komputer dan penelitian kanker.

"Tiba-tiba, kita memiliki kekuatan komputasi untuk benar-benar dapat melakukannya saat itu juga. Kita memiliki kemampuan memindai kaca mikroskop ke resolusi yang cukup tinggi sehingga komputer dapat melihat setiap fitur kecil kanker. Jadi itu adalah konvergensi teknologi. Kita belum bisa melakukan ini, kita tidak memiliki kekuatan komputasi untuk melakukan ini beberapa tahun yang lalu, tetapi sekarang semuanya telah berubah," jelas David Agus.

Penelitian sekarang untuk kanker payudara. Tetapi dokter memprediksi kecerdasan buatan pada akhirnya akan digunakan untuk membantu mengobati pasien dengan segala jenis kanker. [as]

XS
SM
MD
LG